Leishmanien, Erregernachweis

Aus LABOPEDIA
Wechseln zu: Navigation, Suche

Der PCR-Nachweis ist wesentlich sensitiver als der mikroskopische Nachweis. EDTA-Blut ist für den PCR-Nachweis ungeeignet, da eine Parasitämie nur selten zu erwarten ist.

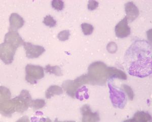
Leishmaniose (Hautabklatsch, Hund)


Material
  • Knochenmarkpunktat
  • Lymphknotenpunktat (L. popliteus)
  • Gewebe (Haut)
  • Abstrich ohne Medium (Konjunktiva)
Methode PCR, zytologisch, histologisch
Labor
  • Praxis-Schnelltest: nicht erhältlich
  • Speziallabor:
    • Versandzeit und -temperatur sind unkritisch
    • Dauer: 1 - 3 Tage
Melde-/ Anzeigepflicht -
Tierart Hund