Hepatozoon canis

Aus LABOPEDIA
Wechseln zu: Navigation, Suche

Hepatozoon canis macht einen typischen Kokzidien-Entwicklungszyklus durch, mit dem Hund als obligatorischem Zwischenwirt.

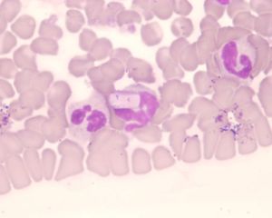
Hepatozoon canis (Hund)

Die ungeschlechtliche Vermehrung, Schizogonie, findet in mehreren Generationen in den Endothelzellen der Milz, Leber und des

Knochenmarks statt.

Die hier gebildeten Merozoiten dringen in die Leukozyten ein und differenzieren sich zu den Gamonten. Der Endwirt, die Zecke, nimmt die Gamonten bei der Blutmahlzeit auf, und im Darm der Zecke erfolgt die Gamogonie. Es entstehen die beweglichen Zygoten, die den Darm der Zecke verlassen und in das Haemozoel einwandern. Hier findet die Sporogonie statt und es werden Oozysten mit je 16 infektiösen Sporozoiten gebildet. Die Infektion mit H.canis erfolgt durch das Zerbeißen oder Verschlucken infizierter Zecken.

Akute Infektionen sind gekennzeichnet durch Fieber, Lymphadenitis, Anorexie, Apathie, Myositis und epileptiforme Anfälle (Blutungen in Meningen). Es treten massive Läsionen bis hin zu Nekrosen in den befallenen Organen (Milz, Leber, Lunge, Gehirn) auf. Chronische Infektionen verursachen intermittierendes Fieber, Lymphadenopathie,Anämie, Durchfall und Erbrechen. Es kommt zu Hyperästhesien und Muskelschmerzen mit Nacken- und Rumpfmuskelversteifung. Periostal kann es zu Knochenproliferationen kommen.