Babesia canis canis

Aus LABOPEDIA
Wechseln zu: Navigation, Suche

Babesia canis canis kommt in folgenden Regionen vor:

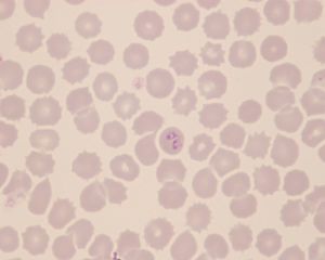
Babesia canis (Hund)
  • Nordafrika, gesamter Mittelmeerraum, Südeuropa bis in den Norden Frankreichs, Zentral- und Südungarn, Polen (bis zu den Masuren), lokal in Holland (Den Haag, Arnheim).
  • Herde in Deutschland: Saarland, Münchner-, Regensburger-, Freiburger-, Stuttgarter-Raum (Filderstadt), Rheinebene (bis in die Köln/Bonner Bucht), Münsterland, Siegerland, entlang der Mosel.